Dental problems not just cause discomfort but may affect their entire appearance. Unfortunately, many people have to suffer silently because of their teeth. This is what happened to a 72-year-old woman from Uttar Pradesh. At her age, having problems with teeth is natural. However, her dental woes were quite extensive, and she did not know who to ask for help.
Her son noticed the discomfort she was facing. He found the details of Smritiraj Dentistry through a Google search and contacted them. Dr. Raj Tiwari understood the pain and difficulty the lady was facing. He suggested an extensive treatment that would give the patient a lease at a new life.
Since the patient was elderly, getting the procedure done could be stressful for her. Dr. Tiwari knew that this case was complicated and would need time as well as patience. However he did not want to keep that elderly need in the dark. He told them that though respite is possible it will be a lengthy procedure.
After much deliberation and thought, the patient’s family agreed to undergo the procedures. Dr. Raj Tiwari, with his expertise, handled the treatment with utmost care. Due to the patient’s age, it was necessary that she did not feel any discomfort during the treatment.
In the next step, Dr. Tiwari performed a dental implant on 6 upper teeth and the lower jaw. He also fixed temporary dentures for both the upper and lower jaws. This entire procedure took a lot of time, and Dr. Tiwari handled all queries and issues faced by the patient helping them at all points.



Now was the time to wait for the results. Dr. Tiwari gave them a 4 months window to let the implants set down successfully. After 4 months, the patient returned, and the next step of the procedure was initiated.
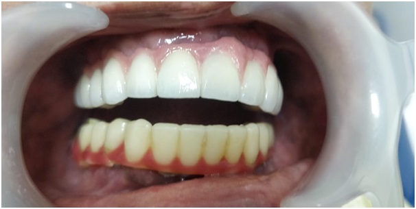
Dr. Raj Tiwari then removed the temporary dentures. While completing these steps, he took care that the patient does not have to suffer any more than she already has. In this time interval the final zirconia bridge was made customized as per the patient’s requirements. After removing the dentures the Zirconia bridge is fixed over the implants.
The patient was then asked to have a look at her teeth post-treatment. She could not believe that her teeth had regained their lost glory. Her family joined in the happiness and thanked Dr. Tiwari for the patience and precision with which he completed this procedure.
+91-8527275521
Get in touch and let us know how we can help