Child Specialist in dwarka

04 Mar 2023

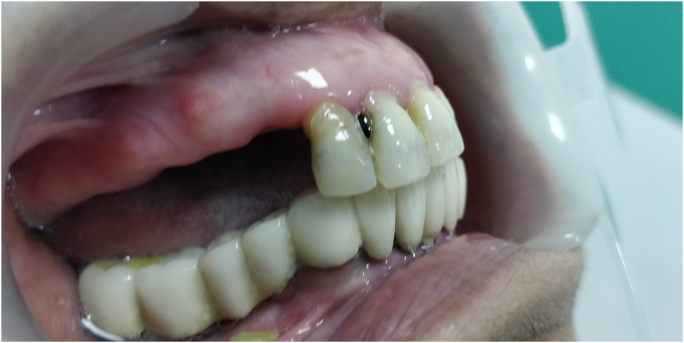
As a person grows old, his teeth show signs of decay. The same happened with a patient of 75 years who had high Blood pressure and blood sugar (controlled). She was missing her teeth on the upper right side and could not chew her food properly.

Though she had a partial denture, the level of compliance was less. Her son was worried and wanted a dentist who would do dental implants. The requirement was a treatment that accompanied less pain and suffering for the patient.

That is when he contacted Smritiraj Dentistry for a solution. Dr. Raj told them about guided implant surgery. This procedure would not require any stitches, and the bleeding was also comparatively less. The presence of CBCT and 3D dental printers ensured the smooth planning and fabrication of the surgical guide.

After a lengthy discussion that involved showing past successful implants, the patient agreed. The result of the surgery was remarkable, and everyone was impressed. Despite the hurdle of her medical history, the patient successfully got her teeth implants with minimal pain.

Call Now

+91-8527275521

We want to hear from you!

Get in touch and let us know how we can help